Colón Sigmoide - Colonoscopia Cigna / Mais il est possible de parler des facteurs qui influencent le développement des tumeurs, y compris les tumeurs malignes.

Colón Sigmoide - Colonoscopia Cigna / Mais il est possible de parler des facteurs qui influencent le développement des tumeurs, y compris les tumeurs malignes.. Adenomatous polyps, the most common type of simoid polyps, typically develop as a normal part of aging or from dietary habits. An infected diverticula in the sigmoid colon is referred to as sigmoid colon diverticulitis. Épaississement du côlon sigmoïde peut être causée par la diverticulose et peut être difficile à détecter. El colon se constituye por sus partes ascendente, transverso, descendente y sigmoide. Es responsable de mantener la micción y heces.

Après tout, elle est responsable de l'absorption d'eau de la nourriture digérée et nourrit l'ensemble de son corps humain. Varias condiciones de salud pueden afectar el colon sigmoide. Épaississement du côlon sigmoïde peut être causée par la diverticulose et peut être difficile à détecter. Junio de 1955 diagnóstico de ingreso: Carcinoma de colon sigmoide y recto primario y extensivo.

Traumatismos De Colon Diagnostico Y Tratamiento De Lesiones Penetrantes Y No Penetrantes Sacp Revista
Traumatismos De Colon Diagnostico Y Tratamiento De Lesiones Penetrantes Y No Penetrantes Sacp Revista from www.sacp.org.ar
Malheureusement, il n'y a pas d'opinion sans équivoque sur les causes du cancer. Mild forms of sigmoid colon diverticulitis can be treated just with rest, dietary changes and antibiotics but advanced or severe forms of sigmoid colon diverticulitis need to be treated with surgery. The inside layer is a mucous membrane. Esta parte de nuestro sistema vela porque los residuos que acumula el cuerpo sean desechados correctamente. Carcinoma de colon sigmoide y recto primario y extensivo. It can result in severe abdominal pain, fever, nausea, and substantial change in the bowel patterns. Épaississement du côlon sigmoïde peut être causée par la diverticulose et peut être difficile à détecter. Las paredes del colon sigmoide son musculares, y se contraen para incrementar la.

Esta parte de nuestro sistema vela porque los residuos que acumula el cuerpo sean desechados correctamente.

Adenomatous polyps, the most common type of simoid polyps, typically develop as a normal part of aging or from dietary habits. Malheureusement, il n'y a pas d'opinion sans équivoque sur les causes du cancer. El colon se constituye por sus partes ascendente, transverso, descendente y sigmoide. Si l'un des organes internes est enflammé ou infecté, l'état de santé se détériore fortement. Ce segment colique a la particularité de pouvoir développer de petites excroissances de l'intérieur vers l'extérieur nommées diverticules. Es la cuarta sección y se llama así sigmoide por la forma de s. El conjunto de todas ellas constituye el intestino grueso del cuerpo. Épaississement du côlon sigmoïde peut être causée par la diverticulose et peut être difficile à détecter. Notre état de santé dépend directement de l'état physiologique de nos organes internes. Tratamiento inmunobiológico por 20 semanas en hospital y 6 meses de tratamiento ambulatorio y de seguimiento. El colon sigmoide es la parte del intestino grueso que está después del colon descendente y antes del recto. Las paredes del colon sigmoide son musculares, y se contraen para incrementar la. La sigmoïdite est une inflammation ou une infection de la partie du côlon appelée sigmoïde et plus particulièrement des diverticules qui y sont présents.

El colon sigmoideo es la sección más baja del colon. First is the descending colon, the sigmoid. Esta parte de nuestro sistema vela porque los residuos que acumula el cuerpo sean desechados correctamente. Es responsable de mantener la micción y heces. Le traitement qui a pour objectif de retirer les polypes, prévient l'apparition d'un cancer colorectal.

Exposicion Colon Y Volvulo Sigmoide
Exposicion Colon Y Volvulo Sigmoide from image.slidesharecdn.com
Si bien puede haber divertículos en cualquier parte del tracto digestivo, su presencia es más común sobre el lado izquierdo del intestino grueso, zona conocida como colon descendente y sigmoide (ilustración 1). Vanwege de anatomische eigenaardigheid van het sigmoïd is dit. La diverticulosis es un trastorno común, sobre todo, entre personas de más edad. El colon sigmoide se une al recto, y este desemboca al canal anal. Mild forms of sigmoid colon diverticulitis can be treated just with rest, dietary changes and antibiotics but advanced or severe forms of sigmoid colon diverticulitis need to be treated with surgery. El colon sigmoideo es la sección más baja del colon. Junio de 1955 diagnóstico de ingreso: La diverticulose est une pathologie très fréquente, mais mal connue du grand public.

La diverticulosis es un trastorno común, sobre todo, entre personas de más edad.

Notre état de santé dépend directement de l'état physiologique de nos organes internes. La sigmoïdite est une inflammation ou une infection de la partie du côlon appelée sigmoïde et plus particulièrement des diverticules qui y sont présents. Varias condiciones de salud pueden afectar el colon sigmoide. Learn how this part of the colon functions. Junio de 1955 diagnóstico de ingreso: Certains d'entre eux peuvent se transformer en cancer ; The inside layer is a mucous membrane. Les polypes à fort risque de cancer sont : Mild forms of sigmoid colon diverticulitis can be treated just with rest, dietary changes and antibiotics but advanced or severe forms of sigmoid colon diverticulitis need to be treated with surgery. Mais il est possible de parler des facteurs qui influencent le développement des tumeurs, y compris les tumeurs malignes. Carcinoma de colon sigmoide y recto primario y extensivo. Esta parte de nuestro sistema vela porque los residuos que acumula el cuerpo sean desechados correctamente. Elle est envisagée dans certains cas de diverticulite sigmoïdienne.

El colon se constituye por sus partes ascendente, transverso, descendente y sigmoide. Colon sigmoideum gl d 6 preis zum kleinen preis hier bestellen. El colon sigmoide es la parte del intestino grueso que está después del colon descendente y antes del recto. La sigmoïdite est une inflammation ou une infection de la partie du côlon appelée sigmoïde et plus particulièrement des diverticules qui y sont présents. El colon sigmoide se une al recto, y este desemboca al canal anal.

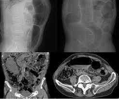
Cancer De Colon Sigmoides Como Contenido De Una Hernia Inguinal Izquierda
Cancer De Colon Sigmoides Como Contenido De Una Hernia Inguinal Izquierda from netmd.org
Junio de 1955 diagnóstico de ingreso: El colon sigmoide es la parte del intestino grueso que está después del colon descendente y antes del recto. El colon sigmoide se une al recto, y este desemboca al canal anal. The colon contains four layers of tissue. Tratamiento inmunobiológico por 20 semanas en hospital y 6 meses de tratamiento ambulatorio y de seguimiento. It can result in severe abdominal pain, fever, nausea, and substantial change in the bowel patterns. Si bien puede haber divertículos en cualquier parte del tracto digestivo, su presencia es más común sobre el lado izquierdo del intestino grueso, zona conocida como colon descendente y sigmoide (ilustración 1). First is the descending colon, the sigmoid.

Varias condiciones de salud pueden afectar el colon sigmoide.

Si l'un des organes internes est enflammé ou infecté, l'état de santé se détériore fortement. Colon sigmoideum gl d 6 preis zum kleinen preis hier bestellen. An infected diverticula in the sigmoid colon is referred to as sigmoid colon diverticulitis. Si bien puede haber divertículos en cualquier parte del tracto digestivo, su presencia es más común sobre el lado izquierdo del intestino grueso, zona conocida como colon descendente y sigmoide (ilustración 1). Certains d'entre eux peuvent se transformer en cancer ; Es responsable de mantener la micción y heces. Vanwege de anatomische eigenaardigheid van het sigmoïd is dit. Learn how this part of the colon functions. ¿cuán común es la diverticulosis? Causes de l'adénocarcinome du côlon sigmoïde. La diverticulosis es un trastorno común, sobre todo, entre personas de más edad. La diverticulose est une pathologie très fréquente, mais mal connue du grand public. El colon se constituye por sus partes ascendente, transverso, descendente y sigmoide.

Notre état de santé dépend directement de l'état physiologique de nos organes internes colón. Learn how this part of the colon functions.

Posting Komentar

0 Komentar

Ad Code